Біль у кульшовому суглобі, обмеження рухів і труднощі під час ходьби можуть значно ускладнювати повсякденне життя. Сучасна медицина дозволяє ефективно вирішити цю проблему.
У травматологічному відділенні нашої лікарні проводяться операції з ендопротезування кульшового суглоба в межах державної програми МОЗ України. Завдяки сучасним методикам і досвіду лікарів пацієнти отримують можливість позбутися болю та повернутися до активного життя.
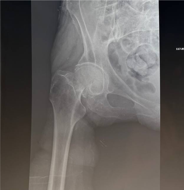
Нещодавно в лікарні було проведено ендопротезування жінці 80 років. Операція пройшла успішно — пацієнтка почувається добре та вже розпочинає етап реабілітації. 💙
Консультації щодо можливості проведення операції відбуваються щочетверга з 14:30 до 15:30 у травматологічному відділенні лікарні.
Звертайтеся – ми поруч, щоб допомогти повернути якість життя 🙌







